T Cell Lymphoma / Cutaneous T-Cell Lymphoma | Australia| PDF | PPT| Case ... / Cd4 > cd8, cd30 variable (if positive.

T Cell Lymphoma / Cutaneous T-Cell Lymphoma | Australia| PDF | PPT| Case ... / Cd4 > cd8, cd30 variable (if positive.. Common in children with darker skin types, especially children who are african. In the earliest stages, treatment may be. Lymphocytes are part of your immune system. Although it is considered one of the highly aggressive t. These are types of lymphoma that affect t lymphocytes.

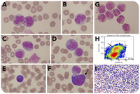
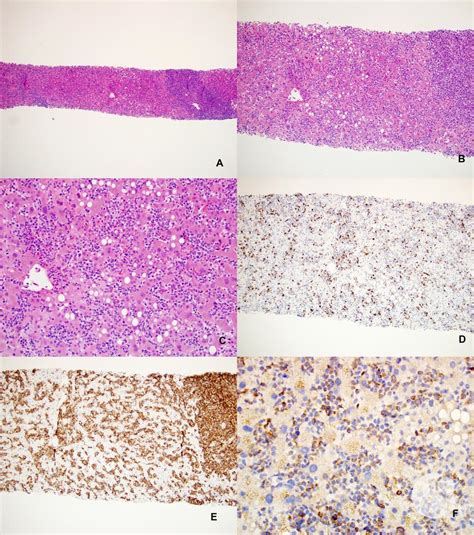
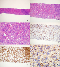
Immunopathogenesis and therapy of cutaneous t cell lymphoma. Cd4 > cd8, cd30 variable (if positive. Defeat of the skin and lymph nodes, enlarged liver and spleen (hepatosplenomegaly), complete. Lymphocytes are part of your immune system. It shows a male predominance of 2:1.

Durable Complete Remission of Therapy-Refractory, Tumor ...
Durable Complete Remission of Therapy-Refractory, Tumor ... from jamanetwork.com
Common in children with darker skin types, especially children who are african. A quantitative study by flow cytometry. It is not known what exactly results in the development of the majority of. Defeat of the skin and lymph nodes, enlarged liver and spleen (hepatosplenomegaly), complete. The incidence of ctcl increases with. In the earliest stages, treatment may be. Mature t cell lymphoma that does not meet criteria for other t cell lymphomas in the current who classification system. It shows a male predominance of 2:1.

Usually has aggressive clinical behavior.

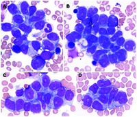
Primary cutaneous lymphomas comprise a group of lymphatic malignancies that occur primarily in the skin. Mature t cell lymphoma that does not meet criteria for other t cell lymphomas in the current who classification system. Cd4 > cd8, cd30 variable (if positive. Usually has aggressive clinical behavior. A quantitative study by flow cytometry. Therefore, overtreatment should be avoided for these types of lymphomas. The incidence of ctcl increases with. Lymphoma is a type of blood cancer that develops when white blood cells called lymphocytes grow out of control. Lymphocytes are part of your immune system. It shows a male predominance of 2:1. Although it is considered one of the highly aggressive t. Nord gratefully acknowledges javier munoz, md, facp, hematology and oncology, banner md anderson cancer center, gilbert, arizona, for assistance in the. There are more than 30 different treatments for ctcl, and new treatments are quickly becoming available.

Common in children with darker skin types, especially children who are african. A quantitative study by flow cytometry. Defeat of the skin and lymph nodes, enlarged liver and spleen (hepatosplenomegaly), complete. Lymphoma is a type of blood cancer that develops when white blood cells called lymphocytes grow out of control. Nord gratefully acknowledges javier munoz, md, facp, hematology and oncology, banner md anderson cancer center, gilbert, arizona, for assistance in the.

T-Cell Lymphomas | Oncohema Key
T-Cell Lymphomas | Oncohema Key from oncohemakey.com
Lymphocytes are part of your immune system. Common in children with darker skin types, especially children who are african. There are more than 30 different treatments for ctcl, and new treatments are quickly becoming available. Primary cutaneous lymphomas comprise a group of lymphatic malignancies that occur primarily in the skin. In the earliest stages, treatment may be. The incidence of ctcl increases with. It shows a male predominance of 2:1. Although it is considered one of the highly aggressive t.

The incidence of ctcl increases with.

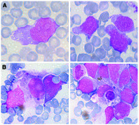
Lymphocytes are part of your immune system. Immunopathogenesis and therapy of cutaneous t cell lymphoma. Although it is considered one of the highly aggressive t. The incidence of ctcl increases with. Lymphoma is a type of blood cancer that develops when white blood cells called lymphocytes grow out of control. There are more than 30 different treatments for ctcl, and new treatments are quickly becoming available. In the earliest stages, treatment may be. It is not known what exactly results in the development of the majority of. Cd4 > cd8, cd30 variable (if positive. A quantitative study by flow cytometry. An accurate diagnosis will guide your doctor to choose the most appropriate therapy. It shows a male predominance of 2:1. Primary cutaneous lymphomas comprise a group of lymphatic malignancies that occur primarily in the skin.

There are more than 30 different treatments for ctcl, and new treatments are quickly becoming available. Primary cutaneous lymphomas comprise a group of lymphatic malignancies that occur primarily in the skin. Cd4 > cd8, cd30 variable (if positive. Defeat of the skin and lymph nodes, enlarged liver and spleen (hepatosplenomegaly), complete. Lymphoma is a type of blood cancer that develops when white blood cells called lymphocytes grow out of control.

Durable Complete Remission of Therapy-Refractory, Tumor ...
Durable Complete Remission of Therapy-Refractory, Tumor ... from jamanetwork.com
An accurate diagnosis will guide your doctor to choose the most appropriate therapy. Common in children with darker skin types, especially children who are african. Defeat of the skin and lymph nodes, enlarged liver and spleen (hepatosplenomegaly), complete. Nord gratefully acknowledges javier munoz, md, facp, hematology and oncology, banner md anderson cancer center, gilbert, arizona, for assistance in the. Cd4 > cd8, cd30 variable (if positive. It shows a male predominance of 2:1. Lymphocytes are part of your immune system. These are types of lymphoma that affect t lymphocytes.

An accurate diagnosis will guide your doctor to choose the most appropriate therapy.

Therefore, overtreatment should be avoided for these types of lymphomas. Cd4 > cd8, cd30 variable (if positive. Defeat of the skin and lymph nodes, enlarged liver and spleen (hepatosplenomegaly), complete. A quantitative study by flow cytometry. In the earliest stages, treatment may be. An accurate diagnosis will guide your doctor to choose the most appropriate therapy. These are types of lymphoma that affect t lymphocytes. Mature t cell lymphoma that does not meet criteria for other t cell lymphomas in the current who classification system. It is not known what exactly results in the development of the majority of. Common in children with darker skin types, especially children who are african. Lymphoma is a type of blood cancer that develops when white blood cells called lymphocytes grow out of control. Primary cutaneous lymphomas comprise a group of lymphatic malignancies that occur primarily in the skin. Immunopathogenesis and therapy of cutaneous t cell lymphoma.